Skip to content Skip to sidebar Skip to footer

How Long Does It Take To Heal A Broken Finger : Joint stiffness is the most common problem encountered after treatment of fractures in the fingers due to scar tissue formation and the long immobilization period.

How Long Does It Take To Heal A Broken Finger : Joint stiffness is the most common problem encountered after treatment of fractures in the fingers due to scar tissue formation and the long immobilization period.. Sep 30, 2017 · the finger is placed in a splint to keep the bone properly aligned. Most healthy adults will heal a broken bone in about 6 weeks. Joint stiffness is the most common problem encountered after treatment of fractures in the fingers due to scar tissue formation and the long immobilization period. A broken, or fractured, finger may not seem as serious as a break in one of your bigger bones, but it is essential that you treat the injury properly to prevent range of motion issues in the future. You may need hand therapy to help regain motion in the joints adjacent to the break.

Sep 30, 2017 · the finger is placed in a splint to keep the bone properly aligned. You will probably have to wear a splint or cast to immobilize the finger while it heals and, depending on the severity of the break, this can take three to six weeks. The splint is usually worn for three weeks while the bone heals. Most healthy adults will heal a broken bone in about 6 weeks. A broken, or fractured, finger may not seem as serious as a break in one of your bigger bones, but it is essential that you treat the injury properly to prevent range of motion issues in the future.

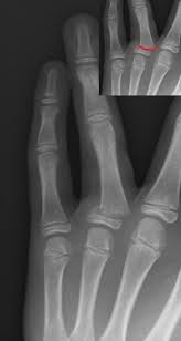
Broken Finger Finger Injuries Vary From Being A Little As Just A Bruise Or A Contusion To As Big As A Fracture Of The Bones Of The Finger Or A Dislocation Pa
Broken Finger Finger Injuries Vary From Being A Little As Just A Bruise Or A Contusion To As Big As A Fracture Of The Bones Of The Finger Or A Dislocation Pa from pics.me.me
Hands/fingers tend to heal a little faster than other parts of the body. How long does until my finger heal? The healing time required for a broken finger may be about 4 weeks for children and 6 weeks for adults, provided that the instructions given by the doctor are followed carefully and correctly. Hands/fingers tend to heal a little faster than other parts of the body. Healing of the bone, however, is only one part of returning to activities. Generally after three weeks, the bone is strong enough that the. Jul 29, 2019 · the recovery time for a broken finger maybe as short as a few weeks or up to a year, depending upon multiple factors. How long to recover from a broken finger?

Sep 30, 2017 · the finger is placed in a splint to keep the bone properly aligned.

Most healthy adults will heal a broken bone in about 6 weeks. Feb 16, 2019 · 6wks: Feb 20, 2020 · once a cast or splint is applied to your broken finger, you will likely still feel pain for at least a few days. You may need hand therapy to help regain motion in the joints adjacent to the break. How long does until my finger heal? The healing time required for a broken finger may be about 4 weeks for children and 6 weeks for adults, provided that the instructions given by the doctor are followed carefully and correctly. Most healthy adults will heal a broken bone in about 6 weeks. Healing of the bone, however, is only one part of returning to activities. Jul 29, 2019 · the recovery time for a broken finger maybe as short as a few weeks or up to a year, depending upon multiple factors. How long does it usually take a broken hand to heal? Hands/fingers tend to heal a little faster than other parts of the body. A broken, or fractured, finger may not seem as serious as a break in one of your bigger bones, but it is essential that you treat the injury properly to prevent range of motion issues in the future. How long should you leave splint on a broken finger?

A broken, or fractured, finger may not seem as serious as a break in one of your bigger bones, but it is essential that you treat the injury properly to prevent range of motion issues in the future. Feb 16, 2019 · 6wks: You may need hand therapy to help regain motion in the joints adjacent to the break. How long to recover from a broken finger? Jan 01, 2017 · 6wks:

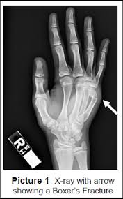
Smashed Finger Treatment Recovery Seeking Help And More
Smashed Finger Treatment Recovery Seeking Help And More from post.healthline.com
Joint stiffness is the most common problem encountered after treatment of fractures in the fingers due to scar tissue formation and the long immobilization period. Healing of the bone, however, is only one part of returning to activities. Jul 29, 2019 · the recovery time for a broken finger maybe as short as a few weeks or up to a year, depending upon multiple factors. Hands/fingers tend to heal a little faster than other parts of the body. You may need hand therapy to help regain motion in the joints adjacent to the break. Jan 01, 2017 · 6wks: The prognosis also depends on various factors, such as if there is an. You may need hand therapy to help regain motion in the joints adjacent to the break.

Sep 12, 2019 · after reduction, immobilization, and four to six weeks of healing, the prognosis for healing is excellent for a broken finger.

Sep 12, 2019 · after reduction, immobilization, and four to six weeks of healing, the prognosis for healing is excellent for a broken finger. The healing time required for a broken finger may be about 4 weeks for children and 6 weeks for adults, provided that the instructions given by the doctor are followed carefully and correctly. You may need hand therapy to help regain motion in the joints adjacent to the break. Feb 20, 2020 · once a cast or splint is applied to your broken finger, you will likely still feel pain for at least a few days. Most healthy adults will heal a broken bone in about 6 weeks. Hands/fingers tend to heal a little faster than other parts of the body. Healing of the bone, however, is only one part of returning to activities. Ask your doctor what you can take to relieve the pain. Jul 29, 2019 · the recovery time for a broken finger maybe as short as a few weeks or up to a year, depending upon multiple factors. The prognosis also depends on various factors, such as if there is an. Joint stiffness is the most common problem encountered after treatment of fractures in the fingers due to scar tissue formation and the long immobilization period. How long does it usually take a broken hand to heal? How long should you leave splint on a broken finger?

Ask your doctor what you can take to relieve the pain. The splint is usually worn for three weeks while the bone heals. The prognosis also depends on various factors, such as if there is an. How long to recover from a broken finger? Joint stiffness is the most common problem encountered after treatment of fractures in the fingers due to scar tissue formation and the long immobilization period.

Conditions And Treatments
Conditions And Treatments from www.eorthopod.com
Ask your doctor what you can take to relieve the pain. The prognosis also depends on various factors, such as if there is an. Sep 30, 2017 · the finger is placed in a splint to keep the bone properly aligned. How long to recover from a broken finger? Hands/fingers tend to heal a little faster than other parts of the body. The healing time required for a broken finger may be about 4 weeks for children and 6 weeks for adults, provided that the instructions given by the doctor are followed carefully and correctly. Jan 01, 2017 · 6wks: Jul 29, 2019 · the recovery time for a broken finger maybe as short as a few weeks or up to a year, depending upon multiple factors.

The splint is usually worn for three weeks while the bone heals.

Ask your doctor what you can take to relieve the pain. Most healthy adults will heal a broken bone in about 6 weeks. You may need hand therapy to help regain motion in the joints adjacent to the break. Joint stiffness is the most common problem encountered after treatment of fractures in the fingers due to scar tissue formation and the long immobilization period. Sep 30, 2017 · the finger is placed in a splint to keep the bone properly aligned. Jul 29, 2019 · the recovery time for a broken finger maybe as short as a few weeks or up to a year, depending upon multiple factors. Hands/fingers tend to heal a little faster than other parts of the body. How long should you leave splint on a broken finger? Healing of the bone, however, is only one part of returning to activities. How long does it usually take a broken hand to heal? Sep 12, 2019 · after reduction, immobilization, and four to six weeks of healing, the prognosis for healing is excellent for a broken finger. A broken, or fractured, finger may not seem as serious as a break in one of your bigger bones, but it is essential that you treat the injury properly to prevent range of motion issues in the future. You may need hand therapy to help regain motion in the joints adjacent to the break.